在许多餐厅中,我们经常能看到一道凉菜:中华海藻,它吃起来口感脆爽,非常开胃。
制作中华海藻的原料,便是沿海地区饭桌上的常客——裙带菜,裙带菜能打汤能凉拌,辅以藤椒或麻辣佐料,更是让人胃口大开。

用裙带菜烹饪的菜肴,图片来源:单体锋
裙带菜营养价值高,不仅含有大量的维生素、氨基酸、甘露醇和矿物质,而且富含有生物活性物质如岩藻黄素、褐藻酸、褐藻糖胶等。虽然我们总是吃到它,但是下面这几个问题,可能马上回答就有些困难了:裙带菜是海带吗?裙带菜有性别吗?如果有,又能分成哪些性别呢?
01
海带还是裙带菜?
傻傻分不清楚
在我国,由于海带的知名度太高,导致裙带菜一直活在海带的影子里。不用说内陆人民基本不熟悉裙带菜,甚至沿海城市的居民也经常把裙带菜称作海带。
现在到了该给裙带菜正名的时候了!
的确,裙带菜跟海带同属于海带目褐藻,在幼苗期长得确实很相似,但长大之后,裙带菜的“颜值”却远胜海带 。
裙带菜也是因为其外形如女子的裙带而得名。人工栽培的裙带菜,因为性状得到改良,叶片光滑,色泽鲜亮,在海中随波摇曳,婀娜多姿,很具观赏性呢。

人工栽培的裙带菜,图片来源:中科院海洋所海藻种质库
裙带菜叶片柔软有弹性,因此它不仅“颜值”高,口味也胜过海带。凡是吃过裙带菜的人都对其鲜美度赞叹不已。
那么问题来了,当你吃下裙带菜,大快朵颐之际,你有想过吃下肚的这口裙带菜是什么性别的吗?
02
裙带菜也有性别
裙带菜为一年生海藻,其生活史包含大型的孢子体和微观的配子体两个世代,因为二者在大小、外型等方面存在明显差别,所以称这种生活史为异型世代交替。
在北方沿海如青岛的礁石上,我们通常在冬末(1、2 月份)以后能观察到比较明显的裙带菜幼苗。我们称这种大型的叶状体为孢子体。我们食用和养殖的均是裙带菜的孢子体。

裙带菜的生活史,图片来源:参考文献[5]
正常的孢子体是二倍体,是裙带菜生活史中的无性世代,即它没有性别,不表现出性别差异或分化。孢子体生长到繁殖季节(在北方通常为 6 月份以后),它的孢子叶会释放可以游动的孢子,孢子附着到礁石等附着基之后形成单倍的配子体。自然界中的配子体由于细胞数少,个体微小,肉眼是无法观察到的。
普通的配子体有雌性与雄性的性别分化,因此是有性世代。我们知道 XX 与 XY 型性染色体分别决定人类女性与男性的性别,而海带、裙带菜、水云等褐藻的单倍配子体的性别是由 U 和 V 型性染色体决定的,具有 U 型染色体的为雌性,具有 V 型染色体为雄性。
因此,传统观点认为,裙带菜的单倍配子体只有雌、雄两种性别,且为雌雄异体。日本学者曾在由体细胞培养获得的二倍配子体中发现雌雄同体现象,这是符合逻辑的,因为二倍配子体同时具有 U 和 V 染色体。
让裙带菜的性别变得扑朔迷离的是,中科院海洋所海藻种质库的科研人员首次在单倍的裙带菜配子体中发现了雌雄同体现象,这种配子体在最初的营养生长阶段表现为雄性的形态特征,但在诱导配子发生阶段却能同时形成精子囊和卵囊,进而分别产生精子和卵子。

从左至右依次为性成熟阶段的雌性、雄性、雌雄同体的单倍配子体。a和b箭头所指分别为卵囊和精子囊,图片来源:参考文献[1]
后来他们进一步验证了雌雄同体性别的单倍配子体产生的卵子是具有正常生物学功能的,从而证实了单倍配子体确实存在雌雄同体的性别。
后来的研究发现,这种雌雄同体现象并不稀有,在栽培与养殖群体中都有较高比例的存在。
综上,裙带菜单倍配子体世代具有雌性、雄性、雌雄同体 3 种性别。
03
安能辨我是雄雌?
我们有办法!
现在我们知道了,原来裙带菜也是有性别的。那要怎么区分它们的性别呢?
我们刚刚说过,裙带菜配子体在性成熟阶段,可以形成精子囊和卵囊,进而分别产生精子和卵子。所以,我们可根据形成卵囊或精子囊或二者兼有来确切判断其性别,在营养生长阶段:
雌性配子体的细胞通常较粗、颜色较深且分支较少;
雄性配子体的细胞通常较细、颜色较浅且分支较多;
雌雄同体配子体通常与雄性配子体形态特点一致,难以区分。
因此可以根据上述形态特点判别雌性与雄性配子体。

图6.显微镜下处于营养生长阶段的典型的裙带菜雌性配子体(左)与雄性配子体(右),图片来源:单体锋
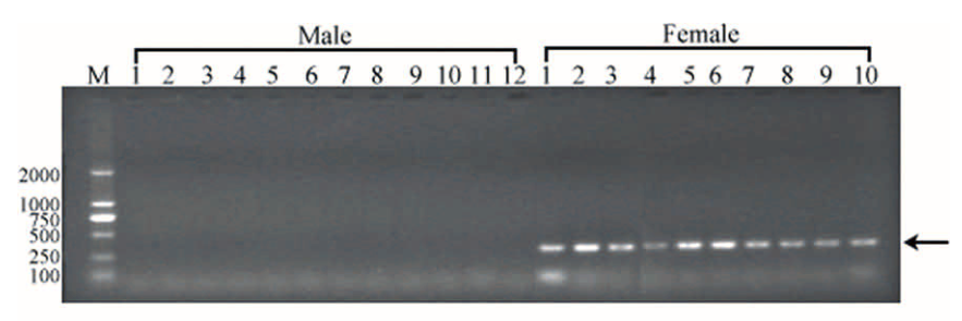
此外,海藻种质库的研究人员发现了裙带菜雌性特异的 DNA 分子标记,可用于检验配子体的性别。

海藻种质库研究人员发现的雌性特异的DNA标记,如箭头所指,图片来源:参考文献[4]
此外,法国的研究人员还开发了雌性裙带菜与雄性裙带菜特异的 DNA 标记。

法国研究人员开发的雄性(左)与雌性(右)特异的DNA标记 ,图片来源:参考文献[2]
由于处于营养生长阶段的配子体的形态受环境影响较大,因此利用 DNA 性别特异标记能够更准确地鉴定性别。但是 DNA 分子标记不能完全解决判断雌雄同体性别的问题,因为雌雄同体配子体只具有雄性特异的 DNA 标记,所以用 DNA 分子标记法只能辅助检测雌雄同体性别表型。
04
裙带菜性别纯一性很重要
现在我们知道裙带菜具有多种性别,也了解了判断裙带菜性别的实验方法,那我们为什么要讨论裙带菜的性别呢?
其实裙带菜的性别决定不仅是进化与发育生物学领域重要的基础科学问题,对于裙带菜育种及培育等应用领域也有重要意义。
比说,裙带菜育种常采用杂交的方法,即一株雌性配子体(母本)与一株雄性配子体(父本)通过有性生殖进行杂交获得孢子体。为了保持杂交的准确性,需要检测父母本性别的纯度,不能有其他性别配子体的污染。
在配子体种质保存及营养扩繁的过程中,也要经常利用显微观察进行检测,确保雌、雄配子体种质的性别纯一性,避免污染。
再比如,裙带菜育种中会利用孤雌生殖或者雌雄同体自交培育纯系孢子体,此过程也需要保证雌性或雌雄同体性别的纯一性,因此需要对性别进行准确检测和鉴定。
05
结语
总结一下,我们知道了裙带菜存在 3 种性别表型。虽然目前其性别决定机制尚未可知,但是我们的研究为阐明海带目海藻性别决定分子机制这一重要科学问题奠定了基础,也为有效开展裙带菜遗传育种提供了重要理论依据。
我们平时如此常见的小菜,包含着这么多研究的价值。下一次在饭桌上,再见到凉拌裙带菜的时候,你是不是就能分辨出裙带菜和海带的区别,对于裙带菜的性别非常清楚啦?
(原标题:日料店常吃的“中华海藻”,竟然有 3 种性别?)
来源: 科普中国微信公众号
流程编辑:TF021
如遇作品内容、版权等问题,请在相关文章刊发之日起30日内与本网联系。版权侵权联系电话:010-85202353






